Specialist-led care to rebuild comfort and function
Edmonton Reconstructive Dentistry
Reconstructive Dentistry
led by specialists
When a tooth breaks, a crown fails, or old dental work starts to feel “off,” it can affect far more than your smile. Chewing becomes uncomfortable. Sensitivity becomes constant. Confidence fades. And over time, small concerns can turn into complex problems.
At Vivid Specialized Dentistry, Edmonton reconstructive dentistry is approached differently. Every treatment is guided by advanced training, meticulous planning, and long-term thinking — because dentistry should not only look beautiful, but function comfortably for years to come.
Whether you need a crown, bridge, implant restoration, or a full-mouth reconstruction, your care is guided by a prosthodontist-led team focused on one thing: getting it right.
Restoring confidence through thoughtful, long-term care
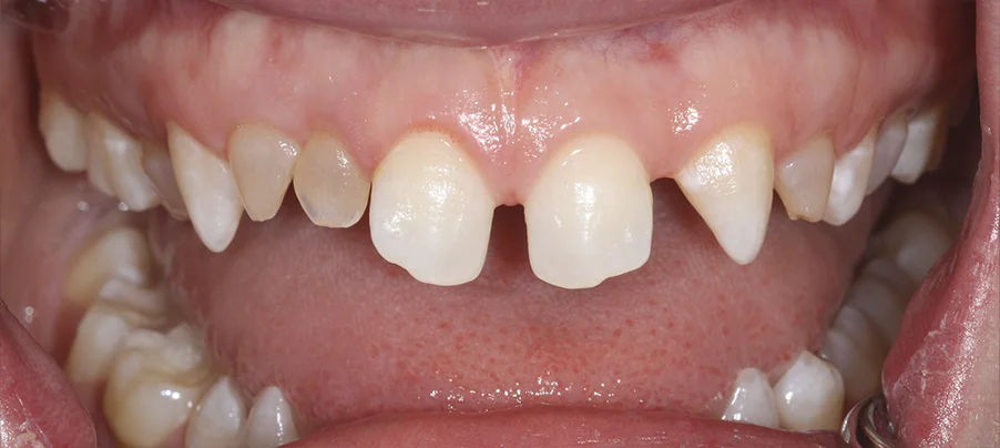
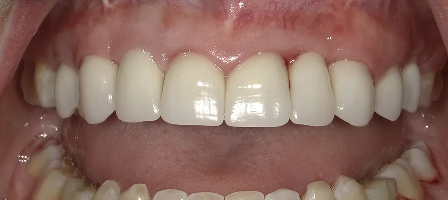
This patient presented with damaged upper front teeth, one of which required extraction. After undergoing orthodontic treatment and jaw surgery, we were able to restore his front two teeth with a crown and a dental implant. Through our specialist-led care, our patient was able to achieve comfort and confidence in his smile for years to come.
Who is a candidate for
Reconstructive Dentistry?
- Dental work that no longer feels comfortable or secure
- Cracked, worn, or heavily restored teeth
- One or more missing teeth affecting bite and confidence
- Pain while chewing or jaw tension
- Aging restorations that don’t match or function properly
- Smiles that need a comprehensive, carefully staged plan
Our Edmonton
reconstructive dentistry services
Crowns protect weakened or broken teeth while restoring natural strength, comfort, and aesthetics. At Vivid, crowns are designed with advanced precision and crafted to blend seamlessly into your smile. Explore Dental Crowns
Bridges replace missing teeth by restoring balance in your bite and preventing surrounding teeth from shifting. Our bridges are custom-designed for a secure, comfortable fit that feels natural in everyday life. Explore Dental Bridges
Modern dentures can be comfortable, stable, and beautifully natural-looking when designed properly. We create carefully fitted solutions for patients seeking renewed confidence and function. Explore Dentures
Dental implants replace missing teeth at the root level. They offer one of the most secure and long-lasting solutions in modern dentistry — especially when guided by specialist planning and precise execution. Explore Dental Implants
Our Warranty
We stand behind the quality of our work. Our dental warranty program includes a 5-year warranty for crowns and bridges and a 1-year warranty for dentures, covering defects in materials or craftsmanship during the applicable coverage period.
To maintain warranty coverage, patients must attend regular check-ups and maintenance visits as recommended by their dental specialist.
Reconstructive Dentistry
for patients who want it done right
Many of our patients come to us after years of uncertainty, or after dental work that didn’t last as expected. Others come in simply wanting a higher level of care from the beginning.
Whatever brought you here, our goal is to give you answers, options, and build a plan you can trust.
Your Questions,
Answered
What’s the difference between reconstructive dentistry and cosmetic dentistry?
How do I know what treatment I need?
Are crowns, bridges, and implants meant to last?
I’ve had dental work fail before. Can you still help?
Do I have to commit to treatment after my first visit?
We’re honoured
to be part of your smile story
A smile can be rebuilt, beautifully thoughtfully precisely intentionally
See what’s possible when specialists lead
A Full-Mouth Renaissance
Years of wear had left their mark. The solution? A complete reimagining. Custom crowns delivered what this patient deserved all along: a highly functional smile that looks flawless.

Headaches, Gone. Smile, Restored.

Recovering Comfort After Trauma

A Smile, Carefully Rebuilt
