Specialists
in Dental Implants, Reconstructive & Cosmetic Dentistry
Premier Prosthodontists & Dental Implant Periodontists in Edmonton
Patients Seen
Your smile. Our Specialty.
Advanced Dental Care, Led by Specialists
Vivid Specialized Dentistry is a multidisciplinary specialty hub, bringing together prosthodontics, periodontics, and an in-house dental laboratory under one roof. We specialize in Edmonton dental implants, cosmetic dentistry, and advanced reconstructive dentistry.
Our multispecialty centre collaborates with leading dentists and specialists across Edmonton and the surrounding area, managing every detail to deliver beautiful, long-lasting smiles for our patients.
Dr. Arif Sumar
BSc, DMD, FRCDC
Edmonton Prosthodontist & Dental Implant Specialist
Dr. Nazia Abrol
MDS, MSc
Edmonton Periodontist & Dental Implant Specialist
Discover
What’s Possible
Dental Implants
Reconstructive Dentistry
Cosmetic Dentistry
Preventative Dentistry
Advanced Dental Technology
Every technology we choose serves one purpose: improving accuracy, comfort, and long-term results.
Primescan® Intraoral Scanner
Digital Smile Design (Smilecloud)
CAD/CAM design + milling & printing
In-house precision laboratory
BTL Emface® + Exomind®
Advanced wellness technologies we’re tailoring to support facial rejuvenation and pain management, part of our evolving whole-body approach to care.
Primescan® Intraoral Scanner
Fast, comfortable 3D scans —no messy impressions— so restorations fit better and usually require fewer retakes.
Digital Smile Design (Smilecloud)
CAD/CAM design + milling & printing
In-house precision laboratory
BTL Emface® + Exomind®
We’re honoured
to be part of your smile story
A smile can be built, Beautifully Thoughtfully Precisely Intentionally
See what’s possible when specialists lead
When life, time, or past dentistry leaves a mark, specialist-led care can rewrite the ending.
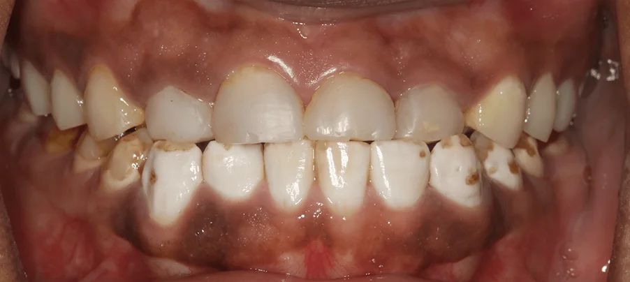
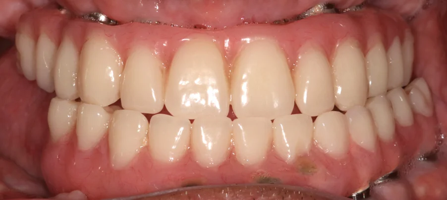
A Full-Mouth Reconstruction
Years of wear had left their mark. The solution? A complete reimagining. Custom crowns delivered what this patient deserved all along: a highly functional smile that looks flawless.

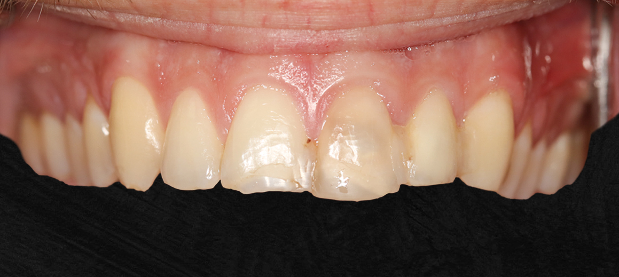
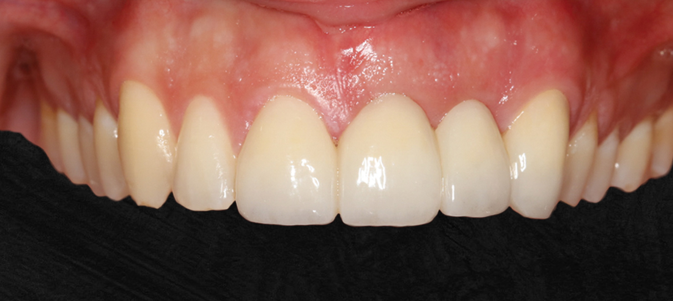
Fractured Front Tooth Restoration

Recovering Comfort After Trauma

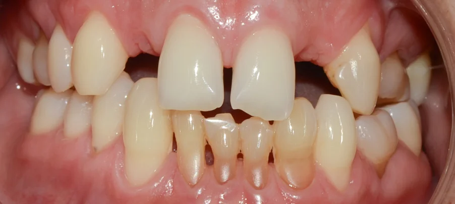
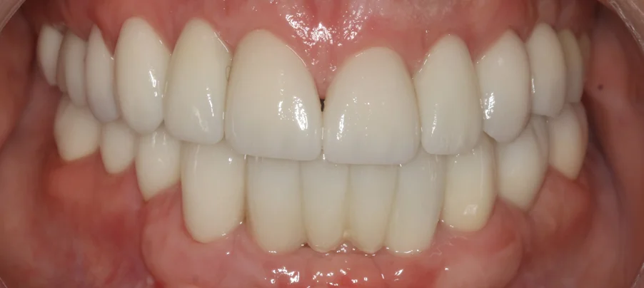
A Smile, Carefully Rebuilt

Ready
for your dream smile?
Your Questions,
Answered
What is a prosthodontist?
How is a prosthodontist different from a general dentist?
While general dentists provide routine dental care, prosthodontists complete additional years of specialty training focused on complex restorative and implant dentistry. At Vivid Specialized Dentistry, this means your treatment is planned with architectural precision, prioritizing function, longevity, and aesthetics, especially for advanced or previously unsuccessful cases.
Why choose a multidisciplinary dental specialty clinic in Edmonton?
Do I need a referral to see a dental implant specialist?
What types of cases do you treat?
As Edmonton’s dental implant and cosmetic dentistry specialists, we commonly treat:
- Failing crowns, bridges, and implants
- Missing teeth or severe tooth wear
- Full-mouth reconstructions
All-on-x / Teeth in a Day® treatments - Trauma, cancer-related, or congenital dental cases
- Complex cosmetic dentistry requiring specialist planning
If you’ve been told your case is “too complex,” this is exactly where a prosthodontist-led approach matters.
What makes Vivid an Edmonton Cosmetic Dental Specialist?
What happens during a new patient examination?
Your initial visit includes a comprehensive evaluation of your oral health, bite, existing dental work, and aesthetic concerns. Depending on your needs, advanced diagnostics such as digital scans or 3D imaging may be recommended. You’ll then receive a personalized treatment plan with clear options, always with informed consent and no pressure to proceed.