Complete Smile Transformation with Dental Crowns
- Vivid Specialized Dentistry

- Aug 26, 2025
- 1 min read
Updated: Sep 3, 2025
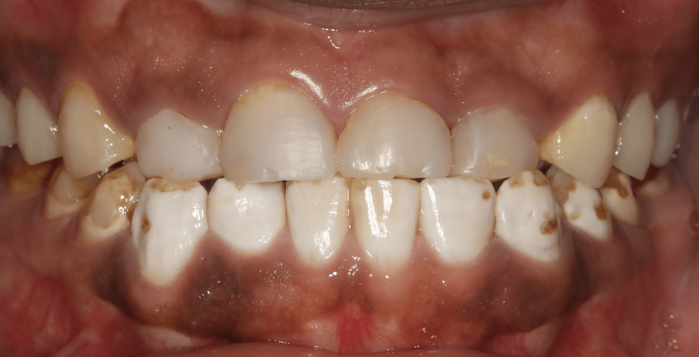
This lovely patient came to Vivid Specialized Dentistry looking for a long-term solution to restore her smile. She chose dental crowns, one of the most advanced and reliable options for replacing missing or damaged teeth.
Restoring Yellow & Chipping Teeth in Edmonton
Dental crowns allowed us to restore not just her smile, but also her confidence in eating, speaking, and living without worry.
At Vivid, every crown is designed with precision in our in-house lab and overseen by Dr. Sumar, a licensed Prosthodontist. That expertise ensures the results look and feel just like natural teeth.
"It wasn't just about esthetics, it was about dental health as well, because your teeth and your mouth can impact your overall health.”


Her journey is a great example of how the right treatment can completely renew both function and confidence.
"So I still feel normal, but I generally smile more now because of the way my teeth look like."

"I can smile fully now without even thinking about it. It’s such a relief."
Dental Crowns Before & After
Thinking about dental crowns in Edmonton?
Schedule a consultation with Dr. Sumar at Vivid Specialized Dentistry and see what’s possible for your smile.
We have a full page dedicated to dental crowns in Edmonton. You can read all about them online here.



















Comments