The Hidden Problems Veneers Can’t Fix
- Vivid Specialized Dentistry

- Dec 12, 2025
- 3 min read
Updated: 12 hours ago
When patients consider cosmetic dentistry, veneers are often the first treatment that comes to mind. They can be an excellent option in the right circumstances—but they are not always the best long-term solution. In many cases, especially when there is lingual wear, incisal wear, old composite restorations, or functional risk, veneers simply cannot protect the teeth adequately.
In this case study, Edmonton Prosthodontist Dr. Arif Sumar explains why one patient who requested veneers was actually a much better candidate for full-coverage zirconia crowns, and how choosing the right treatment can dramatically improve longevity, strength, and oral health.
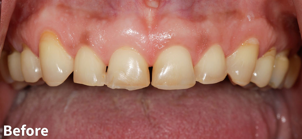
Why Veneers Seemed Like an Option at First
At first glance, this patient appeared to be a typical candidate for veneers on the upper front teeth (canine to canine). The teeth had visible incisal wear and old composite repairs that had begun to chip again. The overbite and overjet were within a workable range, meaning veneers could theoretically improve esthetics.
“At first glance, you could look at the shape of these teeth and think that veneers would be an acceptable option.”
However, a closer look revealed something veneers cannot address.
The Hidden Issue: Lingual Wear
The critical concern was not on the front surface at all—it was on the lingual aspect, the inside surfaces of the front teeth. These areas showed significant erosion and wear that extended beyond what a veneer can safely cover.
Veneers only protect the facial (front) surface and wrap slightly over the edge. This means the worn inner surfaces would remain exposed and vulnerable to continued erosion, especially for patients who clench, grind, or have acidic influences such as GERD.

“The key component in this case is the wear on the lingual aspect of the teeth. If we were to just veneer these teeth… we’re leaving these lingual areas exposed, which could then suffer from further wear over time.”
Why Full-Coverage Crowns Were the Better Choice
To protect both the esthetics and structural integrity of the teeth, Dr. Sumar recommended full-coverage zirconia crowns. These restorations wrap around the entire tooth—front, back, and biting edges—giving long-term protection that veneers cannot.
Crowns were chosen specifically to:
Protect the weakened lingual surfaces
Strengthen the incisal edges
Replace failing composite restorations
Improve esthetics with a more durable material

“A complete full coverage crown covers the lingual aspect… protecting the back of the teeth as well.”
The Importance of Function, Not Just Looks
Long-term success in restorative dentistry requires evaluating both the appearance and the functional environment of the teeth. This includes the patient’s bite, wear patterns, nighttime grinding habits, and any history of erosion.
In this case, zirconia was ideal for strength - but the patient also needed a custom night guard to ensure protection of the opposing teeth over time.

“When completing comprehensive treatment plans, it’s important to look at the patient as a whole. Otherwise, you might miss an important piece that could compromise the long-term prognosis of the teeth.”
The Final Result: Esthetics and Long-Term Durability
The final crowns delivered a brighter, natural-looking smile that matched the patient’s goals. More importantly, they provided complete coverage, protecting all vulnerable surfaces from future wear.
Crowns are often perceived as a more involved procedure—but for patients with functional wear, old restorations, or lingual erosion, they offer superior longevity, structural stability, and predictability compared to veneers.


The result is a smile designed not only to look good today—but to stay healthy for many years.
Are you considering Dental Crowns for better function or aesthetics? Vivid Specialized Dentistry is the premier Cosmetic Dentist in Edmonton. We serve the South West Edmonton community with dental crowns, veneers, dental bridges and more. You can start your cosmetic dental journey by booking a consultation with Dr. Sumar here.


Comments